Últimas Notícias sobre #Guanambi

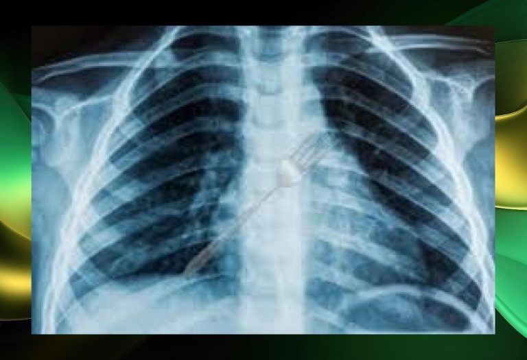
Mulher engole garfo durante refeição

Foto- Reprodução

Um caso inusitado e perigoso mobilizou equipes de saúde em Guanambi, no sudoeste da Bahia, na última sexta-feira (26). Uma mulher precisou de atendimento de urgência após engolir um garfo enquanto fazia uma refeição. Ela foi levada rapidamente ao Hospital Geral de Guanambi, onde exames de imagem revelaram o garfo preso no esôfago, em uma … continue

Tiago Francisco Castro de Souza, 37 anos, foi preso em Foz de Iguaçu, no Paraná Crédito: Reprodução

Um homem identificado como Tiago Francisco Castro de Souza, 37 anos, foi preso em Foz de Iguaçu, no Paraná, enquanto tentava fugir do Brasil na segunda-feira (22). Ex-servidor público em Guanambi, na Bahia, ele é investigado por desviar mais de R$ 600 mil da pasta de assistência social do município, se valendo da sua função, … continue

Direção da unidade soube do ocorrido Crédito: Divulgação

Uma jovem de 25 anos levou um bebê reborn para receber atendimento médico em uma Unidade de Pronto Atendimento de Guanambi, no centro-sul baiano. O caso aconteceu na noite de domingo (18), e foi confirmado pela prefeitura. A mulher não foi atendida, mas o caso foi relatado à direção da unidade.  A jovem pediu uma … continue