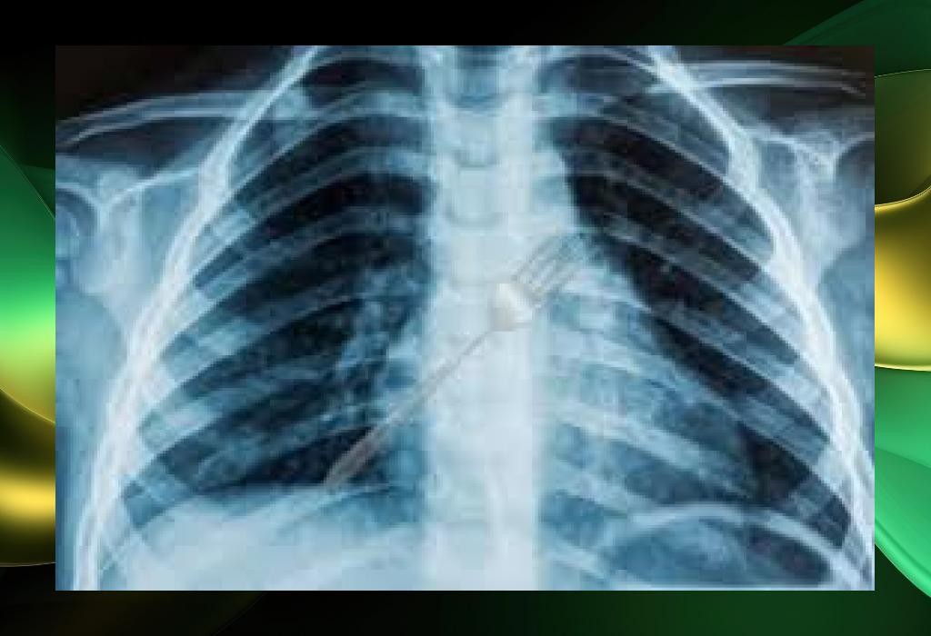
Um caso inusitado e perigoso mobilizou equipes de saúde em Guanambi, no sudoeste da Bahia, na última sexta-feira (26). Uma mulher precisou de atendimento de urgência após engolir um garfo enquanto fazia uma refeição.
Ela foi levada rapidamente ao Hospital Geral de Guanambi, onde exames de imagem revelaram o garfo preso no esôfago, em uma posição considerada de alto risco pelos médicos.
Devido à gravidade da situação, a paciente foi transferida para um hospital em Vitória da Conquista, onde uma equipe especializada se preparava para remover o objeto com segurança.
Até o momento, não foram divulgadas atualizações sobre o estado de saúde da mulher. A identidade dela também não foi informada pelas autoridades.
Sociedaeonline

Djalma Almeida Paixão é natural de Santo Antônio de Jesus.
Com muita dedicação e muitos estudos, Djalma formou-se em rádio e televisão pelo (ICB), Instituto do Conhecimento da Bahia, e possui o registro de número 8747/BA.
Dalma Almeida é formado em Análises Clínicas, Administração de empresa e Língua inglesa pela Uneb (Universidade do Estado da Bahia)
Djalma Almeida também é formado em Pedagogia (pedagogo), formado pela Unifacs (Universidade Salvador), e possui vários cursos na área da educação como : Educacação Inclusiva, Neuroeducação, Coordenação Pedagógica, e Ensino Remoto através da Educação Inclusiva.
Seu grande talento e inspiração pelo rádio começou em 1990 na rádio Recôncavo Fm, quando operava na frequência de 104,3, hoje operando em 98,5 Mhz, atuando como Disc jockey (Programação musical), e atuou também na rádio Clube Am como repórter quando operava em 680 Khz, hoje operando em Fm em 92,7 Mhz.
Atualmente, é repórter da rádio Prazeres Fm 87,9, na cidade de Jiquiriçá, com atuação dentro do programa “Conexão do Vale”. Djalma também foi por mais de três anos o redator e editor do site da rádio Prazeres Fm 87,9.
Também é o proprietário do site “Cidadedaspalmeirasnews.com.br”, onde ocupa o mesmo cargo.
Djalma Almeida também é servidor público estadual, onde desempenha a sua função com dedicação a mais de 37 anos de bons serviços prestados a população.
